Шарафеев Гаяз Наилевич Ветеринарный врач онколог ВЦ «Солнышко», г. Казань
- Американский спаниель по кличке Даня
- Возраст: 12 лет (на момент первого обращения 8 лет)
- Пол: кобель
Причина обращения: образование на верхней челюсти, боль при приеме пищи, кровянистые выделения изо рта и неприятный запах изо рта, ассиметрия морды (изоб.1). В сторонней клинике проводили инцизионную биопсию, морфологический диагноз – плоскоклеточный рак.


Изображение 1
КТ исследование


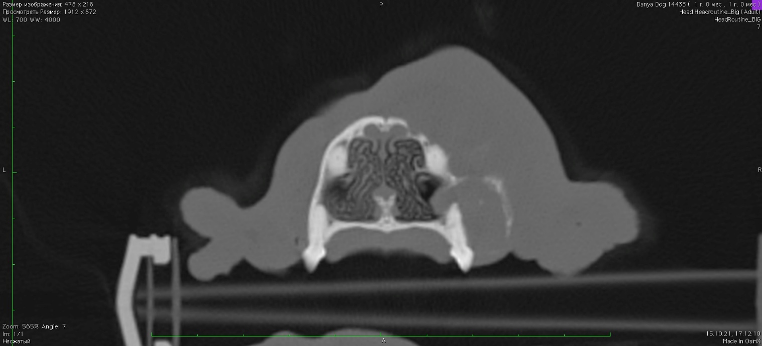
Изображение 2
Отмечается частичный лизис кости верхней челюсти справа в зоне клыка и премоляров. В постконтрастную фазу отмечается очаговое образование с накоплением контраста в области верхней челюсти справа (зона клыка и премоляров) размером 17 х 25 х 17 мм. Отмечается незначительная инвазия опухоли в правый носовой ход (изоб.2).
Лечение
Проведена сегментарная максиллэктомия: удаление пораженного участка верхней челюсти с окружающей костью и мягкими тканями (изоб.3). Закрытие дефекта при помощи лоскута слизистой десны верхней челюсти (изоб.4). Произведен забор материала для гистологического исследования.


Морфологический диагноз – кератинизирующая амелобластома. Изображение 3 Изображение 4
- 22.09.2022 Владельцы собаки Даня обратились с жалобами на слюнотечение, отек с правой стороны на верхней челюсти, невозможность принимать твердую пищу. На осмотре выявлены признаки гиперплазии десен, покраснение слизистых оболочек на нижней челюсти справа в области клыка (304) и резцов (303,302,301), формирование зубного камня. Проведено КТ головы (изб. 6), направлены на консультацию и лечение к стоматологу. Стоматолог провел санацию ротовой полости и удаление резцов (303,302,301).
- 5.09.2023 повторное обращение в клинику по поводу растущего новообразования на спинке носа. На осмотре выявлено плотное подкожное образование, умеренно болезненное при пальпации, неподвижное, с признаками инвазии в окружающие ткани, размер новообразования 2х2 см. Проведено КТ головы с контрастом (изб. 7). Было принято решение об удалении новообразования с забором гистологического материала. Морфологический диагноз акантоматозная амелобластома с грязными краями резекции.
- 08.10.2024 обращение с жалобой на растущее новообразование на нижней челюсти. Осмотр выявил признаки новообразования размером 16 x 12 мм на ростральной части нижней челюсти справа, поражая клык и область резцов. (изб. 8). Проведена частичная ростральная мандибулэктомия. Морфологический диагноз – амелобластома, границы резекции содержат опухолевый рост.
- 13.06.2025 Обращение с жалобой на рецидив новообразования на месте операции от 5.09.2023 года. В ходе осмотра на верхней челюсти справа выявлена деформация костей носа, плотное неподвижное новообразование болезненное при пальпации. Проведено удаление новообразования с трепанацией костей носа. Морфологический диагноз – амелобластома границы резекции содержат опухолевый рост.


Изображение 6. Признаки одонтогенного периостита резцов слева (зубы 301-303). Справа отмечается периостальная реакция костей верхней челюсти.
Изображение 7. Отмечаются структурные изменения кости спинки носа с лизисом костной ткани, визуализируется мягкотканное образование размером до 20*15*28 мм, накапливающее контраст.


Изображение 8. Резцы нижней челюсти 301, 302, 303 и 401 отсутствуют. Между резцом 402 и клыком 304 наблюдается лизис и периостальная реакция нижней челюсти. На этом уровне также выявляется мягкотканевое образование размером 16 x 12 мм с умеренным кровотоком и множественными кальцификатами.


Изображение 9. На верхней челюсти справа, на уровне спинки носа, отмечается выраженная периостальная реакция, а также неоднородное образование размером 28 х 30 х 20 мм. Образование имеет четкие контуры, в центре образования отмечается полость. Рост образования в носовую полость не наблюдается.
Заключение
- Амелобластомы склонны к рецидивированию при нерадикальном удалении. Необходима агрессивная первичная резекция.
- Особенности случая: множественные рецидивы, вовлечение разных участков челюсти (верхняя → нижняя → верхняя), что подчеркивает агрессивный локальный рост.
- Рекомендации: пожизненное наблюдение каждые 3 - 6 месяцев с КТ-контролем.
- Алгоритм ведения рецидивирующей амелобластомы:
- Подтверждение диагноза (гистология рецидива).
- Компьютерная томография для оценки распространенности опухоли.
- Радикальная хирургия и пластика дефекта.
- Адъювантная лучевая терапия при близких/положительных краях или множественных рецидивах.
- Строгий мониторинг.

